
When the word “virus” first came into use, it was as a “poison” and “a very small disease-causing agent.” While the presence of viruses was theorized earlier, they were not fully identified until the 1890s.
So from their earliest discovery, viruses were synonymous with disease and generally of the ghastly epidemic type of disease we now see with coronavirus. Few words carry such a negative punch.
Without in any way minimizing the toll of viruses on humans (and apparently all other living things,) men and women who study viruses know that this association with disease is far too restrictive and misses much of what viruses do. It’s perhaps not something to argue while a viral pandemic is raging, but that’s when the focus on viruses is most intense.
Here, then, is a broader look at what viruses do and have done — how they inflict pandemics but also have introduced genes that have led to crucial evolutionary advances, that have increased the once-essential ability of cyanobacteria in early Earth oceans to photosynthesize and produce oxygen, and that have greatly enhanced the immunity systems of everything they touch. They — and the virosphere they inhabit — have been an essential agent of change.
Viruses are also thought to be old enough to have played a role — maybe a crucial role — in the origin of life, when RNA-like replicators outside cells may have been common and not just the domain of viruses. This is why there is a school of thought that the study of viruses is an essential part of astrobiology and the search for the origins of life. The field is called astrovirology.
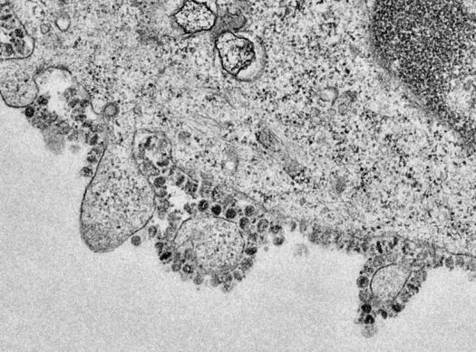
Viruses are ubiquitous — infecting every living thing on Earth.
Virologists like to give this eye-popping sense of scale: based on measurements of viruses in a liter of sea water, they calculate the number of viruses in the oceans of Earth to be 10 31. That is 10 with 31 zeros after it. If those viruses could be lined up, the scientists have calculated, they would stretch across the Milky Way 100 times.
“The vast majority of viruses don’t care about humans and have nothing to do with them,” said Rika Anderson, who studies viruses around hydrothermal vents and teaches at Carleton College in Minnesota. “They are part of life on Earth –sometimes beneficial to a host and sometimes not at all. They just keep replicating and evolving.”

A little background on what constitutes a virus, as described more fully in an earlier Many Worlds article.
Viruses are collections of genetic material contained within protein and sometimes lipid coverings. On their own, they are called virions and cannot reproduce, cannot generate or use energy, and are generally not considered to be alive — although that is a slippery word and concept. They are sometimes likened to seeds or spores, but important differences exist.
A virion becomes a virus when it attaches to a living cell and hijacks the cell’s genome to create endless versions of itself. This can happen in the cells of animals, plants, bacteria, and archaea. There are viruses that infect viruses.
Viruses produce immune reactions in all infected cells, and a substantial part of the evolutionary role they play is in this never-ending arms race to produce more virulent viruses and then stronger immune defenders. As Kenneth Stedman, a virologist at Portland State University, explained to me, the many variations of the common cold most likely all started as human epidemics with most serious consequences but were gradually tamed by immune systems.

So viruses are an integral part of nature — no more intrinsically malign than a forest fire, a widespread flood, a volcano, a carnivore taking down prey. All can be harmful to people and other life, but all have essential roles to play in making Earth work.
Anderson, who studies deep sea viruses and microbes with the goal of forming a model that would help explain the origin of life, said that viruses have also played a clearly positive role — as well as a negative or disruptive role– in the biosphere. An often-cited example is the evolution of the placenta in mammals some 150 million years ago. It was the result of an infection by a retrovirus — which can insert itself into a cell’s genome — and it happened numerous times to numerous creatures over the eons, including primates.
“Some ancient virus infected an ancestor of what is now mammals and it contained a gene that was capable of helping form an internal envelope, a lining,” she said, referring to a gene that formed the protein syncytin-1.
“This ancestor to mammals — and its descendants — were able to use this gene to ultimately form a placental lining. This was a huge advance because mammals could then protect their embryos much better inside their bodies. So we can basically thank viruses for the fact that we humans can give live birth. This kind of positive change via viruses is not that uncommon.”
And then there’s the cycling of essential elements and compounds that viruses produce. In the oceans, Anderson said, bacteria and viruses are everywhere, and the viruses play the essential role of killing off many of the bacteria near the fertile surface of the water — ending the lives of an estimated 50 percent of the bacteria in modern oceans. Each time a bacterial cell dies, organic matter is released and nutrients are made available to maintain the food chain.
If this bacterial disintegration via viruses didn’t take place, cells would be consumed by fish, would be eliminated and would fall to the seafloor and would lower the carbon content of the oceans.

So the virosphere is an essential world to study for many reasons and is broadly accepted as such. The emerging field of “astrovirology” is less well developed, less well known, and less well accepted. But a number of scientists who are focused on viruses and early life — and perhaps life beyond Earth — are hard at work trying to change that.
The value of studying viruses within the realm of astrobiology — the search for life beyond Earth and for an understanding of how life began on Earth –was first introduced in a science gathering by the late Baruch Blumberg, discoverer of the hepatitis B virus, Nobel laureate, and first director of the NASA Astrobiology Institute (NAI). He made that connection between virology and astrobiology at the Astrobiology Science Conference in 2002.
Dale W. Griffin of the U.S. Geological Survey first used “Astrovirology” as a subheading in his 2013 essay in Astrobiology: “The Quest for Extraterrestrial Life: What about the Viruses?” He argued that “we should be looking for viruses in our quest for extraterrestrial life”, but few scientists were doing so.
Then in 2018, three virologists — Aaron Berliner of the University of California, Berkeley; Tomohiro Mochizuki of the Earth-Life Science Institute in Tokyo; and Kenneth Stedman of Portland State University — wrote a review article for the journal Astrobiology that outlined how and why they considered the study of viruses to be an essential discipline within astrobiology.
They argued that since viruses are by far the most common biological particle on Earth, they are inherently important to related fields of study. And the more they are studied, the more surprising the results.

For instance, in 2003 the first giant viruses — “giruses” — were identified, and they are the size of bacteria and have very large genomes. Some giruses even have their own viruses. Since viruses were until that time identified in part by their tiny size — identified only by electron microscopes — these large viruses were quite a surprise and held out the promise of other unexpected discoveries. As described by Stedman, who was the co-chair of NASA’s NAI Virus Focus Group, the role of viruses and their earliest ancestors in the origin of life is complex and only partially understood.

In the “primordial soup” that life emerged from, there were myriad replicating molecules (DNA and RNA) and parasite molecules. This may have been when viruses first appeared, and, as replicators themselves, they may have been an integral part of that organic soup. Since there are no known fossils or biomarkers of ancient viruses, this work is theoretical but also based on the make-up of genomes for today’s creatures and humans. The long-ago viral transfer of genes — as with the origins of the mammalian placenta — can be read in those modern genomes.
In the Astrobiology review article, the authors even write that “viruses have been hypothesized to be responsible for the evolution of DNA as the genetic material, the three domains of cellular life, the development of the eukaryotic nucleus, and even multicellularity.”
“One of the first proposed virus-driven evolutionary events is that viruses may have ‘invented’ DNA genomes in an ancestral RNA-protein world, and that DNA was adopted later by cellular organisms,” the authors wrote in the review article.
“Viruses have gotten a bad rap,” Stedman said. “Even among astrobiologists, the conversation about viruses is usually the ways they make you sick. Not enough has been done to show astrobiologists — and other scientists — the essential and positive role of viruses in evolution, the cycling of essential elements and compounds, and likely in the origin of life.”

And then there’s the issue of extraterrestrial viruses.
Because viruses are ubiquitous on Earth and in its oceans, a logical question is whether they might be present on other planets and moons.
In the Astrobiology article, the authors speculate that if bacteria or other lifeforms are kicked up by a meteorite strike or volcano on Earth, viruses could theoretically be shot into space along with the cells. But a problem with detecting extraterrestrial viruses — whether initially from Earth or elsewhere — is that there are currently no biomarkers that have been discovered or devised to tell whether an extraterrestrial virus is present. This is in part because viruses don’t metabolize and so don’t have byproducts, and also because there is no single genetic signature — a “barcode” — that says “this is a virus.”
Nonetheless, there has been discussion of trying to test the water vapor in the plumes of the moons Enceladus and Europa for viruses when the opportunity arrives to also test for life.
Rika Anderson does not work on extraterrestrial viruses per se, but she does have some interesting thoughts on the subject.
“I can’t think of a single living thing on Earth not infected by virus and so, if life exists on another planet, there’s no reason why there wouldn’t be viruses infecting the thing. Life has a way of always making copies of itself, and parasites like viruses are very clever at it. So there’s no reason why life elsewhere wouldn’t also have parasites.”
But finding them, if they exist, will be a huge challenge. “It’s pretty difficult to find them in a hydrothermal vent right here,” Anderson said.
And in the Astrobiology paper, Stedman et al write in something of a understatement for now: “Unfortunately, the lack of validated virus biosignatures makes detection of extraterrestrial or ancient viruses challenging.”

One Reply to “”
Comments are closed.